検査 

当院でできる検査

開業医の使命は、気軽に受診できて、必要な検査はすぐに行えること。大病院での検査は予約が当たり前ですが、当院では急ぎの検査は予約なしで行えます。予約日までドキドキしながら待つ必要はありません。当院には3人の超音波検査士がいますので、安心しておまかせ下さい。

心臓の検査

  • 心電図
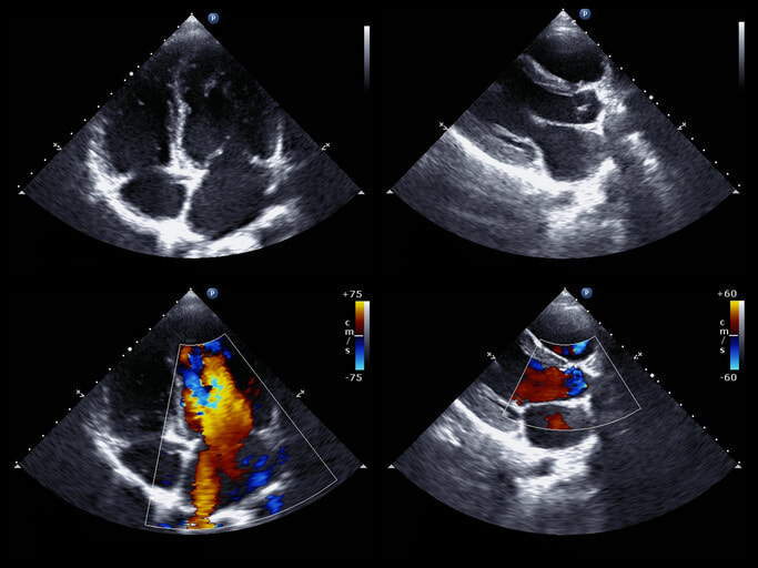
  • 心臓超音波検査:心臓の動きや弁膜症の有無などをチェックします。
  • ホルター心電図:不整脈の程度、治療の必要性などがわかります。最新の小型で完全に服の中に隠れる機械を使用しています。防水で入浴が可能なタイプもあります。
  • トレッドミル:心臓に運動負荷をかけて狭心症の診断や治療効果の判定をします。

動脈硬化の検査

  • 頚動脈超音波検査:頚動脈プラークの大きさや性状から、脳梗塞の危険性などがわかります。
  • 脈波検査:手足の血圧を同時に測定し、5分で血管の硬さを診断できます。
  • FMD:前腕の血流を5分間遮断してその後の血管の拡張の程度を調べることで、ごく早期の血管の異常がわかります。

腹部の検査

  • 胃内視鏡検査:レーザーの光を用いており、早期胃癌を発見しやすくなりました。2025年に新しいカメラとなり、2mmほど細くなりましたので、苦痛も軽減されています。また、麻酔で眠った状態での検査も行っています。
  • 腹部超音波検査:脂肪肝の診断にATTを用い、脂肪肝の程度を数値化しています。
  • 大腸内視鏡検査(要予約):月1回専門医が来院して行います。

骨密度検査

  • 骨密度:2022年に新しい機械に更新し、腰椎と大腿の2か所で測定することで診断の精度が上がりました。

他の超音波検査

  • 乳腺超音波検査:腫瘤の硬さをみるエラストグラフィーの機能もあります。若い女性の乳癌の発見にはマンモグラフィーよりも超音波検査が有用な場合もあります。
  • 甲状腺超音波検査:高頻度に甲状腺の腫瘍はみつかります。穿刺吸引細胞診も行います。
  • そのほか、超音波で見られるものは何でも見ようというスタンスで検査を行っています。

そのほかの検査

  • 睡眠時無呼吸検査:簡易検査ですが、重症の場合は当院でCPAPの導入ができます。
  • 呼吸器検査:気管支喘息や慢性閉塞性肺疾患を診断します。
  • 血液ガス分析:低酸素血症や慢性閉塞性肺疾患を診断します。
  • 眼底検査:糖尿病網膜症の早期発見に有用です。